|
: : :
ทันตกรรมจัดฟัน : : : |
|
Lingual
Orthodontics
Clear
Aligner
or Invisalign
®
Metal
braces
Clear
braces
Orthognathic Surgery |
 
 
 
 
|
|
ใคร
ๆ ก็อยากจะมียิ้มพิมพ์ใจกันทั้งนั้น แต่...ถ้าฟันของคุณไม่เป็นใจ
เกิดเกเร ซ้อน ห่าง หรือไม่สบกัน
ก็ไม่ใช่เรื่องแปลกที่จะมีอุปกรณ์เสริมเข้ามาเป็นตัวช่วยเพื่อให้คุณยิ้มสวยไม่แพ้ใคร
คุณคิดถูกแล้วละ
เรากำลังพูดถึงการจัดฟันที่กำลังอินเหลือเกินในหมู่วัยรุ่น
คุณรู้ไหมว่าการจัดฟันช่วยแก้ปัญหาภายในช่องปากได้มากมาย
ไม่ว่าจะเป็นฟันยื่น ฟันห่าง ฟันล้ม หรือฟันซ้อนเก ฯลฯ
การจัดฟันจะทำให้การสบฟันอยู่ในตำแหน่งที่ถูกต้อง
เคี้ยวอาหารได้อย่างมีประสิทธิภาพ มีสุขภาพในช่องปากที่ดีขึ้น
เพราะง่ายต่อการทำความสะอาด
และยังทำให้คุณดูดีขึ้นด้วยเพราะฟันจะเรียงตัวอย่างเป็นระเบียบแล้วกระดูกโครงสร้างของใบหน้าก็จะได้รูปและสมดุลมากขึ้น
|
|

DAMON
SYSTEM

LINGUAL ORTHODONTICS

INVISALIGN
or CLEAR ALIGNER |
ทางเลือกใหม่ของการจัดฟัน
ปัจจุบันนี้การจัดฟันก้าวหน้ามากขึ้น
คุณจึงไม่ต้องกังวลกับเหตุผลต่างๆ เช่น
กลัวโดนเพื่อนล้อ อายคนรอบข้าง
อายุมากแล้ว เสียบุคลิก ขัดต่อหน้าที่การงาน และอื่นๆอีกร้อยแปดเหตุผลที่คอยกวนใจ
ถ้าคุณไม่อยากมีฟันเหล็กเพราะจัดฟันด้วยเครื่องมือจัดฟันชนิดติดแน่นด้านนอกแบบโลหะ
แบบที่วัยรุ่นนิยม ก็ยังมีทางเลือกใหม่รอคุณอยู่
นั่นคือการจัดฟันแบบมองไม่เห็นเครื่องมือที่แบ่งเป็น
2 ประเภทคือ
การจัดฟันด้วยเครื่องมือจัดฟันชนิดติดแน่นด้านใน หรือ
Lingual
Orthodontics
และการจัดฟันด้วยเครื่องมือจัดฟันชนิดถอดได้แบบใส หรือ
Clear
Aligner
or Invisalign
®
|
|
การดูแลรักษาความสะอาด
การทำความสะอาดฟันและเหงือกสำหรับผู้จัดฟัน
ในกรณีที่ทำการจัดฟันแบบติดแน่น
ซึ่งจำเป็นต้องมีการติดเครื่องมือที่ผิวฟัน
ซึ่งจะทำให้เศษอาหารติดสะสมง่ายและมีโอกาสที่จะเกิดฟันผุสูง
ดังนั้นจึงควรแปรงฟันหลังรับประทานอาหารและก่อนนอน
ส่วนแปรงสีฟันที่ใช้ควรใช้แปรงสีฟันเฉพาะจัดฟัน
ร่วมกับแปรงซอกฟันเพื่อทำความสะอาดตามซอกฟันที่แปรงจัดฟันทำความสะอาดไม่ทั่วถึง
|
|
|
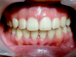
. .
: : ภาพแสดง ก่อน และ หลัง การจัดฟันในแบบต่างๆ |
|
|
Case 1 : : . .
|
|
|
|
|
|
Case 2 : : . .
|
|
|
|
|
|
Case 3 : : . .
|
|
|
|
|
|
 |
 |
|
............................................................................................................................
MAKE SURE OF YOUR SMILE. Copyright
© 2004 SILOM DENTAL BUILDING. All Rights Reserved.
Call
Center : (66) 2636 9091,97 Tel : (66) 2636 9092-5 Fax : (66) 26369096
e-mail :
silomdental@silomdental.com
|